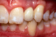
Импланти

Благодарение на дългогодишната ни практика и професионален опит в областта, ние твърдим, че лечението със зъбни импланти е с предсказуем и надежден резултат. Съвременните импланти са изработени от титан - биологично поносим метал, притежаващ изключителни механични качества. При доказалите се световноизвестни системи, с които работим не се наблюдава отхвърляне на импланта от организма. Поставянето на зъбните импланти е гарантирано безболезнена процедура.

Протезирането с импланти има редица предимства пред конвенционалното лечение с мостове и снемаеми протези:

  • Не е нужно изпиляването на здрави съседни зъби.
  • Премахва се неудобството от носене на цели или частични протези. Зъбните импланти се усещат от пациента като собствени зъби.За разлика от тях снемаемите протези са големи чужди тела в устната кухина и храненето и говора винаги са затруднени.
  • Отлична естетика на съзъбието на пациента.
  • Повишава се значително качеството на живот, самочувствието и увереността.

Въпроси и отговори

Разбира се, че е възможно. Днес вече има зъбни импланти, които се поставят гарантирано безболезнено и в сравнително кратък срок пациентът се сдобива със зъби, които усеща като свои.
Съвременните зъбни импланти не се отхвърлят от организма. Като цяло лечението с импланти е с доста прогнозируем резултат – успеваемостта е около 96-98%. Останалите 2-4% не се дължат на „отхвърляне от организма”, а на особености в оздравителния процес. Венецът заздравява по-бързо от костта. Понякога при заздравяването клетките на венеца „обгръщат” импланта и той не може да се свърже с костта. Това се случва в 2-4% от случаите. Такъв имплант може отново да се постави в челюстта на пациента и да бъде успешен.
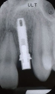
Зъбните импланти са изкуствени зъби от титан, които се присаждат в челюстта.
Поставянето на зъбни импланти е рутинна дейност в нашата практика. То се извършва след предварително рентгенологично изследване и внимателно планиране. Имплантирането се извършва гарантирано безболезнено под местна упойка, но при страхливи пациенти по тяхно желание може да бъде и под обща упойка. Поставянето на зъбен имплант (присаждане на зъб) е по-малко травматично за пациента от изваждане на зъб.
За период от 2 до 6 месеца зъбният имплант се интегрира в костта, след което се пристъпва към поставяне на необходимата конструкция - коронка, мост или протеза. Днес има и импланти, които по преценка на лекуващия лекар се натоварват веднага – т.е. не се изчаква имплантатът да се интегрира, а веднага след поставянето му се слага коронката.
В нашата клиника разполагаме с най-добрите и доказани имплантатни системи, което ни дава възможност да подберем най-подходящата за Вашия случай.
За разлика от естествените зъби имплантите не ”боледуват” от кариес и усложненията му. Престоят на един имплантат (изкуствен зъб) в челюстта зависи от здравето на костта. Предпазването на костта от заболяване и да удължаването на живота на изкуствения зъб, а и на естествените е наш приоритет. Поради това ние отделяме специален час за всеки наш пациент, в който обсъждаме този въпрос и полагаме съответните грижи.